
Trattamenti Odontoiatrici
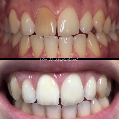
Sbiancamento dentale
Le tecniche di sbiancamento perseguono la diminuzione di tonalità nella colorazione dei denti. Prima di eseguire lo sbiancamento è necessario sottoporsi ad una pulizia dei denti per facilitare la penetrazione dei prodotti nello smalto. Questa pulizia deve essere eseguita alcuni giorni prima qualora si utilizzino prodotti con alte percentuali di agente sbiancante.
Nei nostri studi si eseguono anche tipi di SBIANCAMENTI SOFT, che possono essere applicati immediatamente dopo un’ablazione del tartaro.
Quando si tratta invece di SBIANCAMENTO A CASA (DOMICILIARE) con mascherine, il calo del numero di sfumature nello smalto non sarà immediato ma progressivo perché le concentrazioni del prodotto saranno inferiori (10%-16%) ma con tempi di applicazione prolungati. Il risultati sono davvero eccellenti e si ha il vantaggio di poter mantenere il risultato ottenuto ripetendo il trattamento periodicamente .
LO SBIANCAMENTO IN CLINICA (40%) con le nuove lampade a luce ultravioletta, viene eseguito in una sessione, su entrambe le arcate (la durata del trattamento è di circa 45 minuti). Con questo tipo di sbiancamento si vedrà un risultato immediato, apprezzando il calo della tonalità dello smalto già in una singola sessione. Il processo può essere ripetuto a distanza di 1 settimana per ulteriori due volte.
SBIANCAMENTO ENDODONTICO: si esegue sui singoli denti non più vitali, pigmentati a causa dei residui di emoglobina della polpa ormai morta. I risultati sono eccellenti, l’agente sbiancante viene collocato all’interno del dente e vi rimane per alcuni giorni sino all’ effetto richiesto.









