Ortodonzia con INVISALIGN®

Trattamenti Odontoiatrici

Ortodonzia con INVISALIGN®

Invisibile, comoda, igienica e dal risultato predicibile.

Contattaci

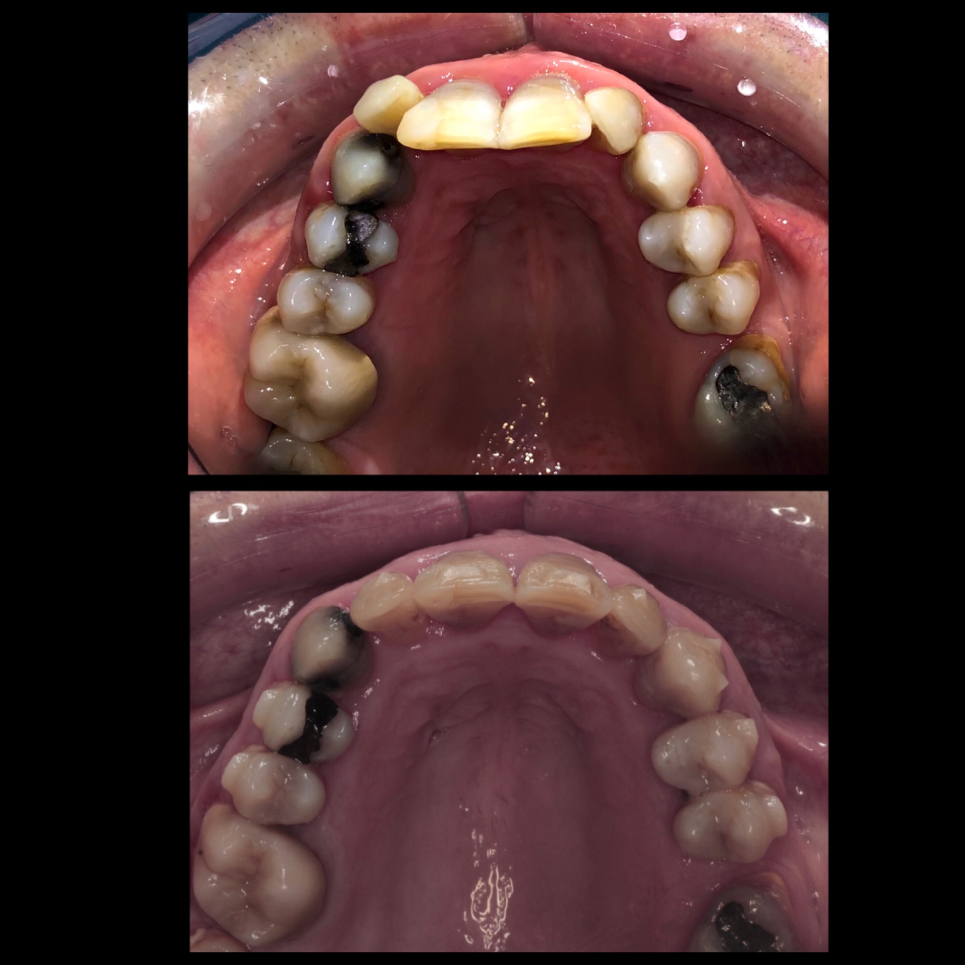
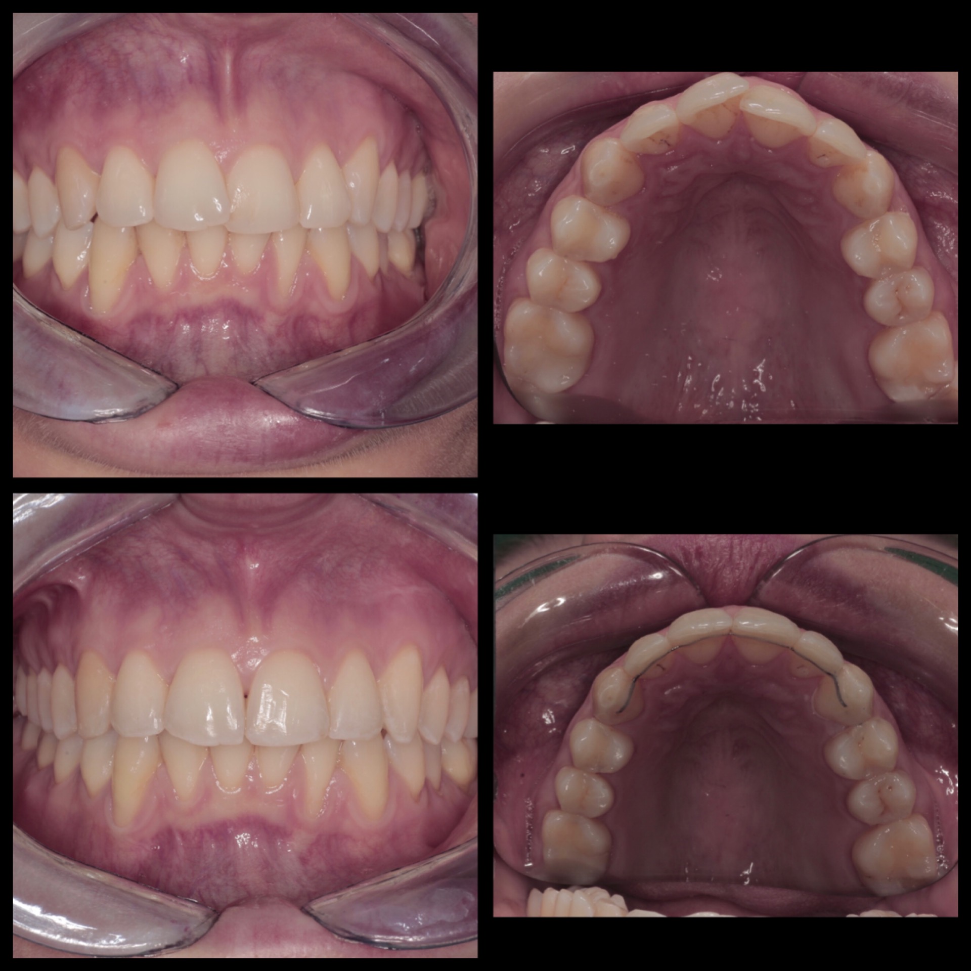
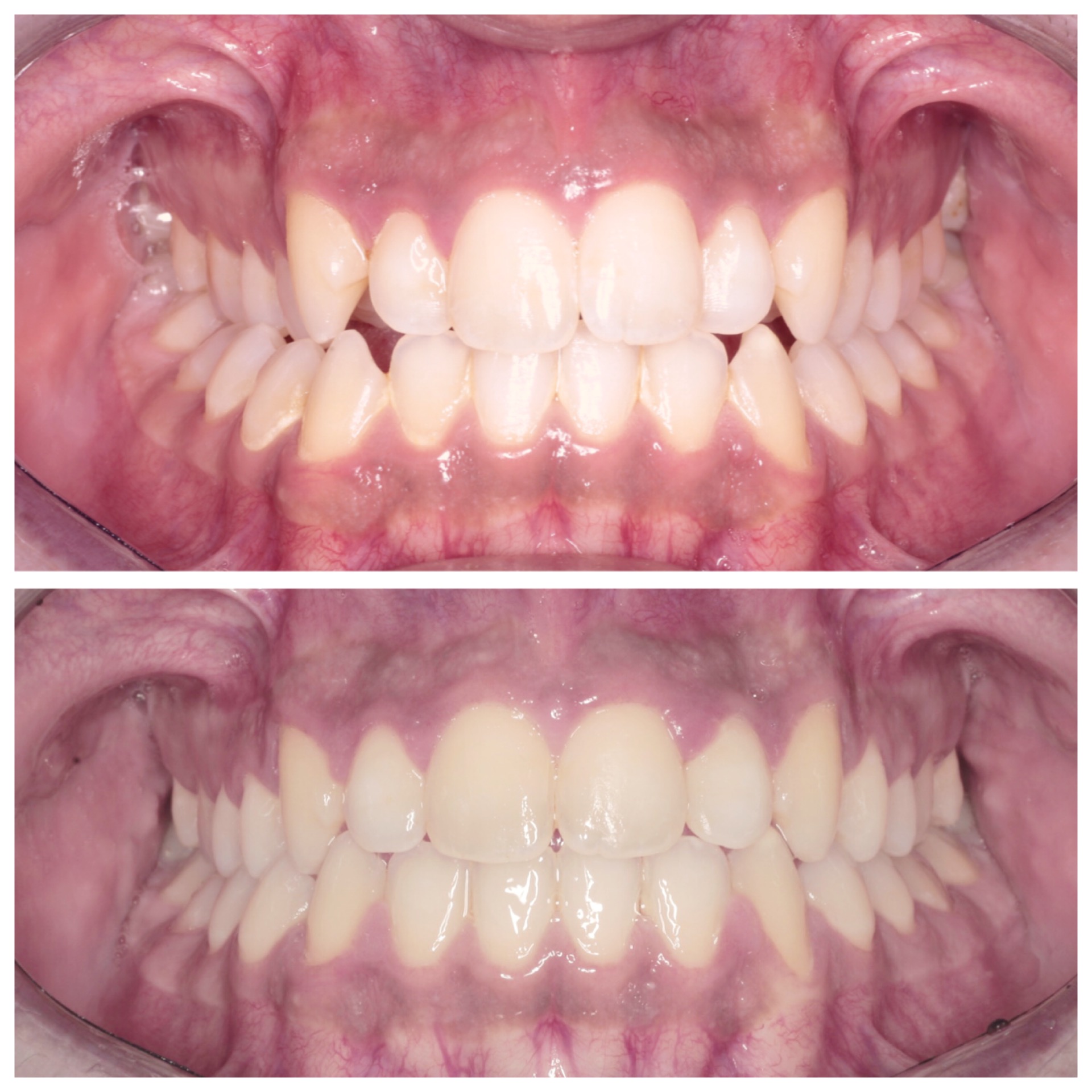
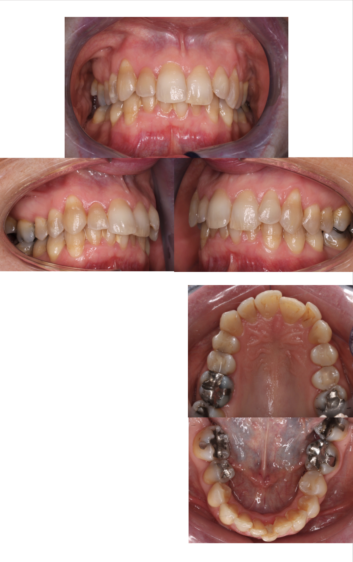
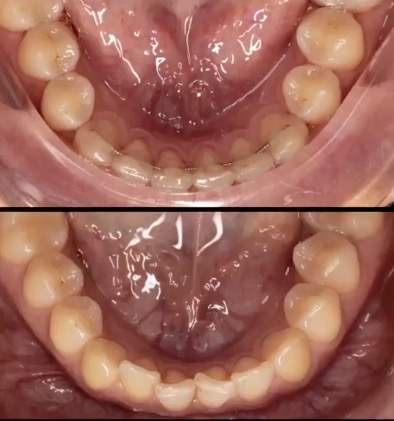
Cos’è l’ ORTODONZIA INVISIBILE?


Con l’ortodonzia invisibile è possibile migliorare la propria immagine senza gli svantaggi di brackets e fili tradizionali ma con la stessa efficacia ed efficienza dell’ortodonzia convenzionale.

Mediante una serie di allineatori trasparenti e rimovibili, l’ortodonzia invisibile sposta i denti nel loro corretto allineamento settimana per settimana e, molto spesso, in meno tempo rispetto ai sistemi tradizionali.

L’ortodonzia invisibile si basa su due principi fondamentali:

  • La pianificazione 3D scanner guidata da parte dell’ortodontista dei micro-movimenti di ogni singolo dente che devono essere eseguiti al fine di ottenere l’occlusione perfetta.
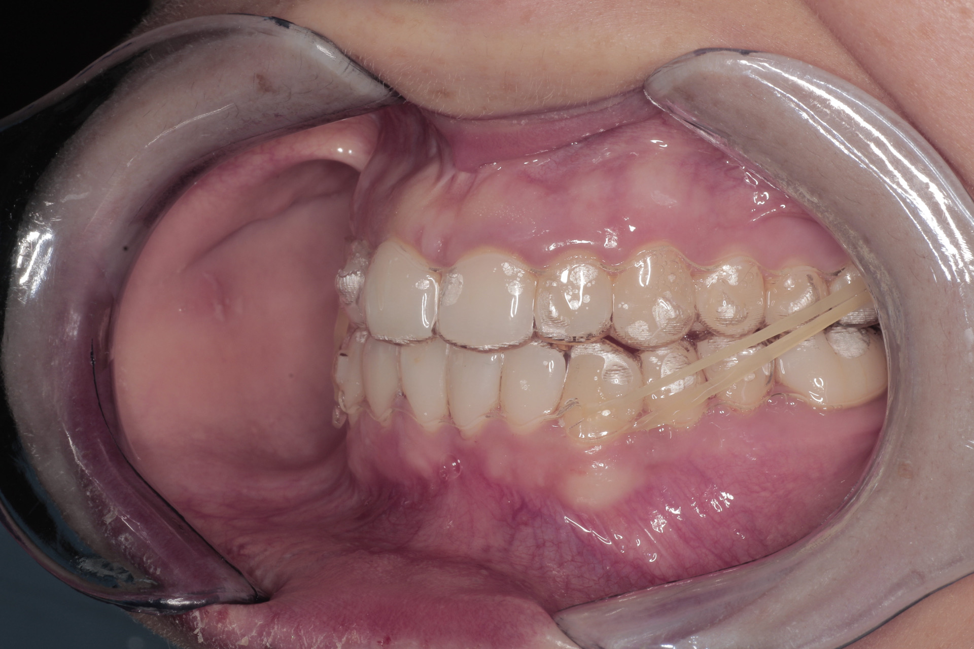
  • La progettazione di una o più serie di allineatori costituiti da materiali brevettati INVISALIGN in grado di trasferire forze in tempi ed intesità specifiche che il paziente dovrà cambiare seguendo le indicazioni dello specialista. In alcune situazioni verranno inseriti piccoli attacchi in resina, poi rimossi a fine trattamento, per aiutare gli allineatori ad eseguire anche i movimenti più difficili.

Cosa prevede il protocollo di trattamento?


Il procedimento prevede una sequenza di passi riassunti in:

  • Uno studio iniziale con radiografie
  • Impronta con scanner 3d , foto iniziali intra ed extraorali per la pianificazione del caso.
  • Elaborazione del ClinCheck da parte dell’ortodontista in cui verranno programmati tutti i movimenti dei singoli denti.
  • Simulazione 3D del  trattamento in cui il paziente potrà vedere il risultato finale.
  • Consegna del primo allineatore (per alcuni giorni indosserà il suo allineatore senza attacchi sui denti).
  • Posizionamento degli attachment : piccoli pezzi di resina bianca incollati su alcuni denti necessari per controllare le forze ed eseguire alcuni movimenti.
  • Registrazione e avanzamento.
  • Controlli periodici con cadenza mensile durante tutto il periodo di trattamento.
  • Un ulteriore scansione 3D e serie di allineatori se dopo aver terminato il trattamento sarà necessario perfezionare alcuni aspetti del sorriso.

Regole generali d’utilizzo


  • Gli allineatori vanno indossati 22 ore al giorno, 7 giorni su 7 e si tolgono solo per mangiare.
  • Non bere bevande calde senza prima rimuovere i tuoi allineatori.
  • Disinfettali periodicamente con i prodotti specifici.
  • Conservali nell’apposita scatola.

Pulizia degli allineatori


  • Risciacquarli solo con acqua fredda.
  • Utilizzare uno spazzolino duro.
  • immergerli con pastiglie disinfettanti specifiche.

Come indossare gli allineatori


Si consiglia di iniziare prima dai denti posteriori centrando l’ allineatore ed applicando con attenzione la stessa pressione da entrambi i lati; una volta che il segmento posteriore sarà ingaggiato correttamente far scorrere le dita in avanti facendo pressione fino a quando la mascherina calzerà completamente anche nella parte dei denti anteriori.

Contattaci
© 2025 Studi Dentistici Galimberti — Design and development by MH srl