
Trattamenti Odontoiatrici
Implantologia e rigenerazione ossea
I primi impianti collocati dal Dott. Bruno Galimberti risalgono agli inizi degli anni 80 quanto ancora pochi in Italia praticavano l’implantologia. Dopo 40 anni molti di questi sono ancora tutt’oggi nella bocca dei pazienti.
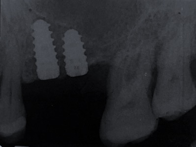
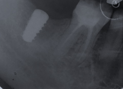
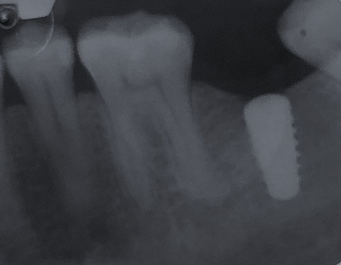
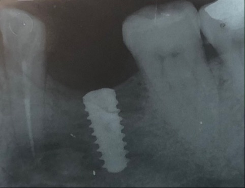
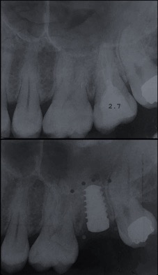
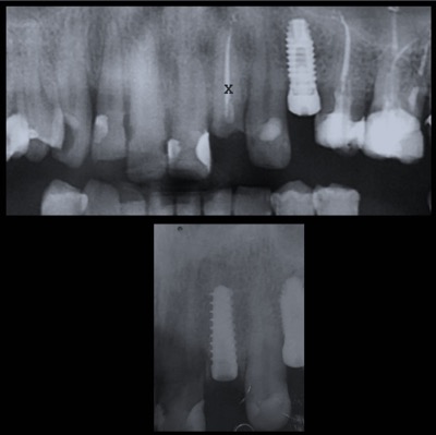
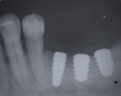
Un impianto dentale o fixture è un corpo in titanio, totalmente biocompatibile, che viene posizionato nella mascella o mandibola con lo scopo di sostituire la radice di un dente naturale perso. Su di esso viene successivamente o immediatamente quando possibile (carico immediato) fissata la protesi ovvero la corona del dente restituendo funzione ed estetica.
La collocazione di un impianto richiede che il paziente si sottoponga ad intervento, molte volte poco invasivo, in anestesia locale. Nelle riabilitazioni complesse e lunghe per rendere l’esperienza più confortevole si esegue una sedazione cosciente avvalendosi della collaborazione di un anestesista.
Gli impianti non hanno scadenza quindi non sono un rimedio temporaneo ma una soluzione definitiva per tornare ad avere denti come quelli originali. L’osteointegrazione è così forte e perfetta che se volessimo rimuovere l’impianto in un secondo momento dovremmo togliere anche l’osso che lo circonda.
Con l’implantologia oggi è possibile sostituire un solo dente come un’intera arcata anche in casi di deficit ossei grazie alla GBR (rigenerazione ossea guidata) che ci permette di intervenire quando la disponibilità ossea iniziale del paziente non sarebbe sufficiente.
Quale percentuale di successo ha un impianto?
Una fixture collocata da un operatore esperto ha una percentuale di successo a 10 anni maggiore del 90%. È una delle percentuali in medicina più alte, chiaramente quando eseguita da mani competenti e con protocolli adeguati.
Può fallire un impianto?
Nulla è per sempre, come anche i denti naturali. Un impianto può andar incontro ad una perimplantite, infiammazione che attacca il tessuto osseo circostante fino a causarne la mobilità. I fattori che predispongono alla perdita di un impianto sono: fumo di sigaretta, scarsa igiene orale, sovraccarico meccanico, predisposizione genetica. Le cause certe non sono ancora del tutto note al giorno d’oggi.
Qualità degli impianti e tipo di trattamento di superficie, caratteristiche nel design della protesi e corretto posizionamento sono fattori fondamentali per ridurre il rischio di perdere un impianto.
E’ necessario incidere la gengiva in un intervento di implantologia?
In alcuni casi è possibile non incidere la gengiva ed inserire un impianto con tecnica Flapless, questo rende la fase post-operatoria più confortevole per il paziente riducendo gonfiori e fastidi.
Che cosa significa impianto a carico immediato?
Il carico immediato è possibile quando l’osso ha una qualità tale da dare una stabilità meccanica immediatamente adeguata all’impianto.
INDICAZIONI POST INTERVENTO DI IMPLANTOLOGIA
- Applicare Ghiaccio nell’immediato post intervento.
- Assumere antinfiammatori orali al bisogno.
- Non fumare assolutamente per almeno 2 settimane.
- Utilizzare clorexidina 0.12%-0.20% in collutori o spray locale per 2 settimane.
- Controllo dell’igiene.















