
Trattamenti Odontoiatrici
Endodonzia
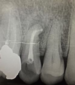
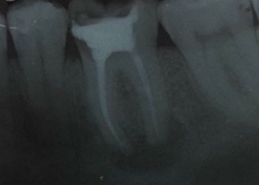
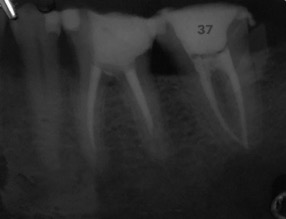
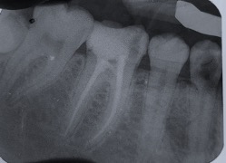
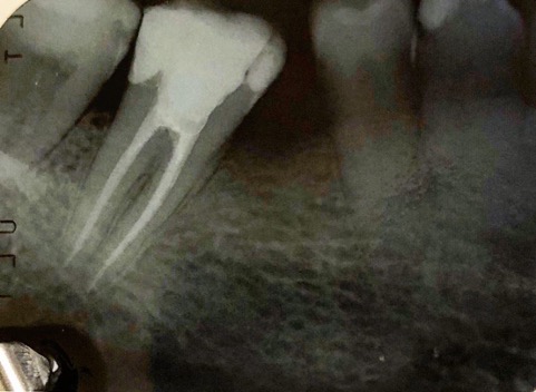
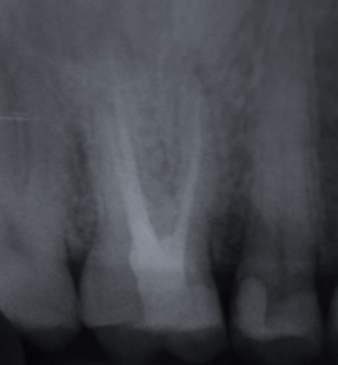
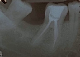
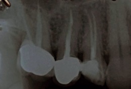
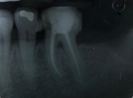
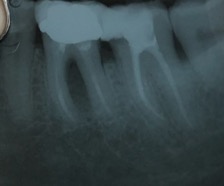
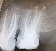
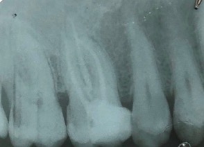
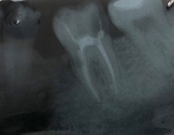
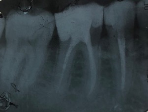
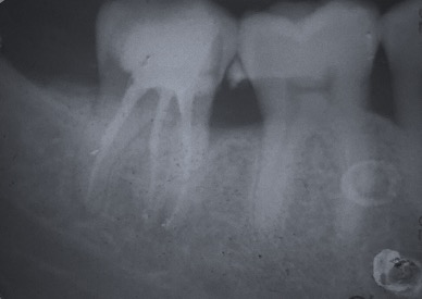
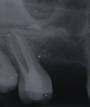
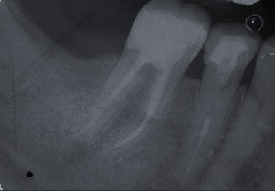
Un trattamento endodontico consiste nel salvare un dente compromesso da carie, traumi o fratture rimuovendone polpa e nervi infetti/infiammati responsabili di dolore, ascessi, cisti e granulomi.
Conservare denti naturali più a lungo possibile è infatti molto importante poiché attorno alle radici esistono dei legamenti che ci permettono di percepire e modulare la forza quando mastichiamo qualcosa.
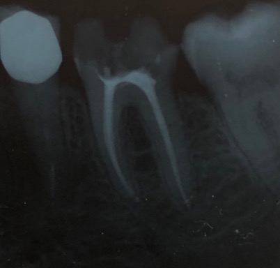
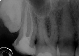
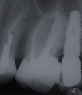
Una corretta terapia canalare con un perfetto sigillo a livello degli apici delle radici è fondamentale. I denti devitalizzati impropriamente possono creare ulteriori problemi che poi andranno a ripercuotersi sulle cure effettuate successivamente come le ricostruzioni e le corone protesiche con conseguente fallimento del piano terapeutico.
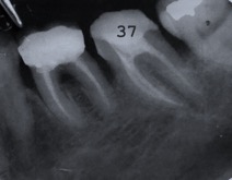
Capita spesso di incontrare denti già devitalizzati in maniera impropria che necessitano, seppur asintomatici, di essere ritrattati per evitare che i granulomi infetti visibili radiograficamente si evolvano riassorbendo tutto l’osso sottostante.
Un adeguata endondonzia serve per salvare quei denti che altrimenti sarebbero destinati ad essere estratti. Quando un dente viene devitalizzato viene privato della sua irrorazione sanguigna e del nutrimento, rendendo la sua struttura più “vetrosa” quindi più fragile e soggetta a fratture. Per questo motivo è consigliabile nella maggior parte dei casi capsulare i denti una volta che hanno perso la loro vitalità.
L’endodonzia è una branca complessa dell’odontoiatria, richiede precisione, una lunga curva di apprendimento oltre che all’imprescindibile capacità di utilizzare degli ingrandimenti adeguati. Il Dott. Galimberti Gabriele, esperto in endodonzia, è arrivato a trattare più di 1200 denti all’anno.




































































