
Trattamenti Odontoiatrici
Cura della parodontite e chirurgia parodontale
Il nostro protocollo di trattamento rispetta le linee guida mondiali aggiornate per il trattamento della parodontite.
CAUSE DELLA PARODONTITE
Possiamo considerare la parodontite come se fosse un’artrite delle ossa mascellari sebbene le cause dell’infiammazione siano differenti.
Fattori eziologi di questa patologia sono:
igiene orale inadeguata: è la causa principale. La placca batterica provoca una gengivite che evolve poi in perdita d’inserzione ossea.
fumo: i fumatori hanno un rischio più elevato di contrarre la malattia. In un fumatore l’infiammazione procede più rapidamente e senza che il paziente se ne renda conto perché il fumo induce una riduzione della microcircolazione e quindi in queste persone le gengive quando sono infiammate non sanguinano.
Predisposizione genetica: esistono pazienti che soffrono di parodontite nonostante mantengano un’ igiene orale impeccabile; altri con un parodonto sano nonostante la presenza di tartaro e placca. Questo è dovuto al fatto che circa il 30% della popolazione ha ereditato un gene che predispone alla malattia.
Stress: è dimostrata scientificamente la correlazione tra stress e parodontite
Gravidanza: la fluttuazioni ormonali durante la gestazione favoriscono l’insorgenza di gengivite e parodontite. In gravidanza la risposta infiammatoria gengivale in presenza di tartaro può essere spropositata.
Malattie sistemiche: come il diabete, certe forme di artrite reumatoide e le deficienze immunitarie congenite o acquisite.
PROTOCOLLO DI TRATTAMENTO
Successivamente ad una valutazione della bocca del paziente, la terapia della parodontite consisterà in:
una PRIMA FASE non chirurgica definita causale il cui scopo è quello di eliminare i processi infettivi ed infiammatori mediante un’ ablazione del tartaro superficiale con ultrasuoni ed uno scaling e root planning in cui il paziente, sotto anestesia, verrà sottoposto ad un curettage con stumenti manuali per raggiungerele zone più profonde all’interno della gengiva associando se necessaria una terapia farmacologica.
Illustrate al paziente le adeguate istruzioni di igiene orale verrà fatta una seconda rivalutazione ai 3 mesi dal trattamento.
UNA SECONDA FASE, se necessaria, chirurgica resettiva o rigenerativa con la eliminazione/ ricostruzione dei difetti ossei e gengivali provocati dall’ infezione.
LASER PER IL TRATTAMENTO DELLA PARODONTITE
Lo scopo della terapia parodontale è innanzitutto l’eliminazione del tartaro e dei batteri in esso contenuti.
I laser da soli risultano totalmente inefficaci nel rimuovere depositi solidi dalla superficie radicolare. Quando il laser viene utilizzato in associazione alla levigatura radicolare manuale (terapia meccanica) non esiste ad oggi evidenza scientifica che si abbia un beneficio ulteriore rispetto alla sola terapia manuale.
L’unica certezza sono dei maggiori costi economici per il paziente.
Pertanto, ad oggi, L’UNICO ED IL MIGLIOR PROTOCOLLO TERAPEUTICO PER LA PARADONTITE è la terapia meccanica associata a quella farmacologica.
La presenza di batteri infatti comporta un riassorbimento dell’osso intorno ai denti dovuto in parte ai metaboliti prodotti dai batteri stessi, in parte ai mediatori della risposta infiammatoria cronica dell’organismo.
Tutte queste osservazioni vengono condivise dai massimi esperti mondiali e pubblicate sulle migliori riviste di parodontologia indicando quelle che sono le linee guida internazionali per la cura della parodontite.
Noi raccomandiamo quindi di diffidare da messaggi commerciali che hanno poca o nessuna affidabilità scientifica e di avere cautela nell’affidarsi a cure , spesso molto costose, che non hanno dimostrato risultati migliori.
“L’utilizzo del laser come unica terapia comporta risultati che solo in alcuni lavori sarebbero simili alla terapia “classica” ma con lo svantaggio di essere molto più costosa”. “Tutti gli studi fino ad oggi pubblicati concordano sul fatto che i benefici ottenuti non sono mai superiori alle procedure convenzionali e che il laser non determina nessun vantaggio aggiuntivo se usato in combinazione con la terapia convenzionale.”
SIdP (Società Italiana di Parodontologia e Implantologia)
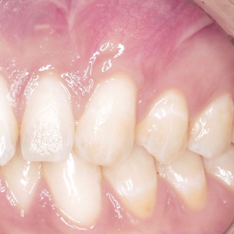
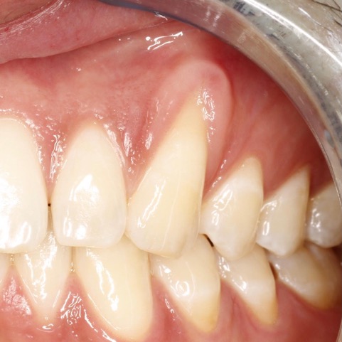
TERAPIA DELLE RECESSIONI GENGIVALI
La terapia delle recessioni gengivali consiste nel ricostituire i tessuti gengivali perduti per ricoprire le radici esposte dei denti e restituire un’adeguata estetica al sorriso.
La procedura prevede un prelievo di tessuto connettivo dal palato, il trattamento della radice esposta, la preparazione dell’innesto e la sua collocazione nel sito ricevente.
Indicazioni per il paziente post-intervento:
- Non fumare nelle due settimane successive
- Risciacqui con collutori contenti clorexidina per 1 mese
- Dieta prevalentemente liquida nei primi 10 giorni






