Chirurgia orale

Trattamenti Odontoiatrici

Chirurgia orale

Contattaci

Interventi più frequenti


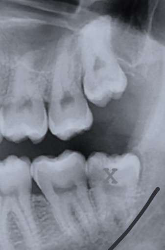
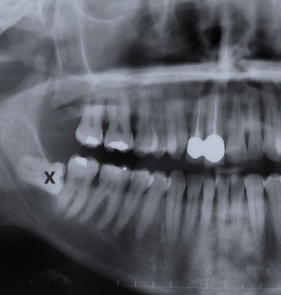
Estrazione di denti del giudizio . È l’intervento più frequente in chirurgia orale. Tra le indicazioni per l’avulsione possiamo menzionare la mancanza di spazio nella mascella o nella mandibola per la sua corretta eruzione, il suo orientamento anomalo responsabile di infiammazioni alle mucose o danni ai molari vicini, le necessità ortodontiche.

Estrazioni dentali complesse. Un’estrazione dentale può essere complicata non solo da un punto di vista pratico chirurgico ma anche nella gestione di casi in cui i pazienti assumono farmaci o presentano malattie sistemiche.

Chirurgia Protesice. Consistono nel rimodellare la gengiva o l’osso per facilitare un corretto adattamento della protesi. Includono la chirurgia con innesti e rigenerazione di osso per un successivo posizionamento di impianti.

Chirurgia dei frenuli In un bambino un frenulo linguale corto può creare difficoltà di linguaggio, mentre un frenulo labiale superiore basso ed ipertrofico porta a malposizioni dentali ed inestetismi del sorriso. In questi casi è necessario un piccolo e breve intervento per prevenire problemi che potrebbero avere maggiore impatto in età adulta.

Chirurgia di cisti e tumori benigni come lipomi, fibromi o piccoli angiomi. Consiste nell’ asportazione della lesione ed una successiva biopsia da parte di un anatomopatologo per stabilire il tipo di lesione.

Chirurgia mucogengivale per motivi estetici o patologici.

Indicazioni post intervento


  • Applicare ghiaccio nell’immediato post intervento.
  • Assumere antinfiammatori orali al bisogno.
  • Non fumare assolutamente per almeno 2 settimane.
  • Utilizzare clorexidina 0.12%-0.20% in collutori o spray locale per 2 settimane.
  • Controllo dell’igiene.
Contattaci
© 2025 Studi Dentistici Galimberti — Design and development by MH srl